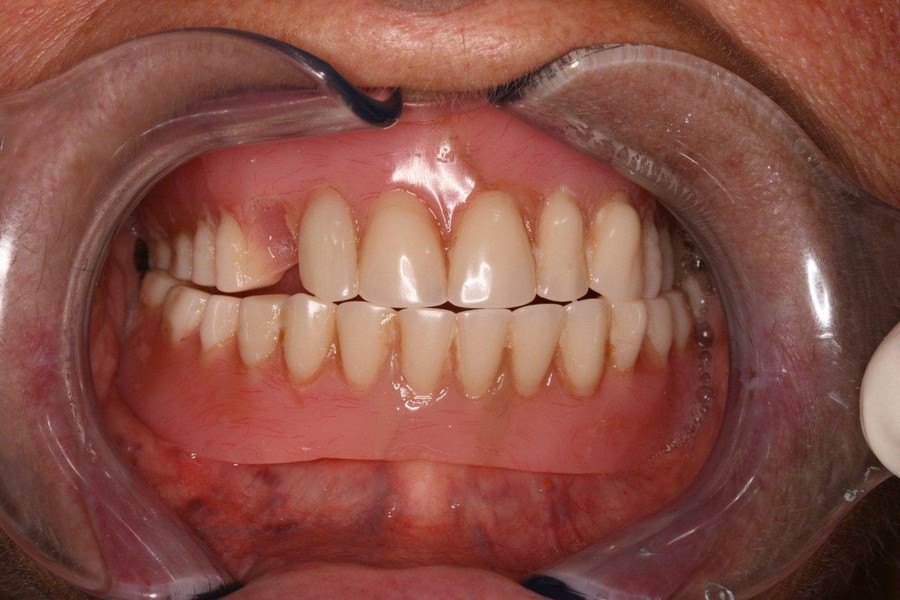
We can provide cosmetic and comfortable Dentures

 

Robert Eades has done further qualifications in Restorative Dentistry and is able to make comfortable dentures. We produce both full and partial denture.

 

We make Acrylic dentures and Chrome Cobalt dentures. All our dental work is made by our excellent laboratory "YDL" The work that is produced is the some of the best in the area.

 

Robert Eades first of all would assess your needs prior to proceeding with a new denture.A FREE Consultation for Existing Practice Plan Patient's and a £40.00 New Patient Consultation would be required.

A written treatment plan will be provided and all treatment options for replacing gaps will be discussed. Questions to yourself will be asked such as: What do you like about your current dentures? What don't you like? Photographs of what you want to achieve cosmetically as a patient is always useful.

  

Dentures are usually made over 5 appointments at Bridge Street Dental Surgery. This is to ensure that a great long term result is achieved. The appointments include making a specialised tray to fit your mouth, recording your bite and lip support, to trying in your teeth prior to fitting them.

 

All our dentures are affordable and start from £590.

 

We can provide immediate dentures within days or provide you a long term smile.

 

Repairs to existing dentures can be done in the practice and out, from a 2 hour turn around to one day for only £110. Denture eases can be provided with your examination appointments.

 

Alternative treatment to improve the fit of your dentures will be discussed as sometimes a simple reline of your existing dentures can be undertaken. This can be provided as a cheaper alternative.

 

The treatment I received from Robert Eades was both courteously and professionally carried out and would recommend anybody to see him.” J L Conacher.

Print | Sitemap
© Bridge Street Dental Surgery

Last edited 24/11/2021