Root canal re-treatments

If the root canal system has not been sufficiently cleaned of bacteria, failure of the root canal treatment can occur leading to infection and symptoms.

 

It is often possible to re-root canal treat the tooth to destroy these bacteria.

 

Re-treatments are more difficult than primary root canal work as the filling material has to be removed and any errors in the previous treatment corrected where possible.

 

Please phone Sue or Nicola on 01937 833416 or use our contact form for further questions.

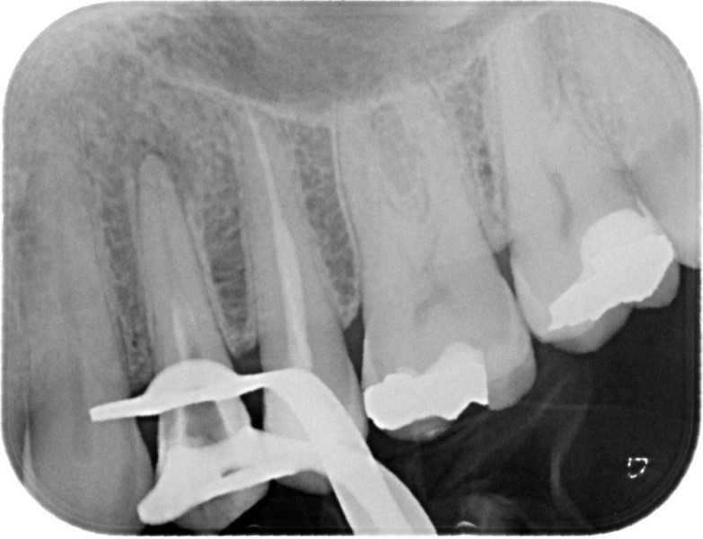
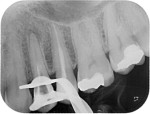
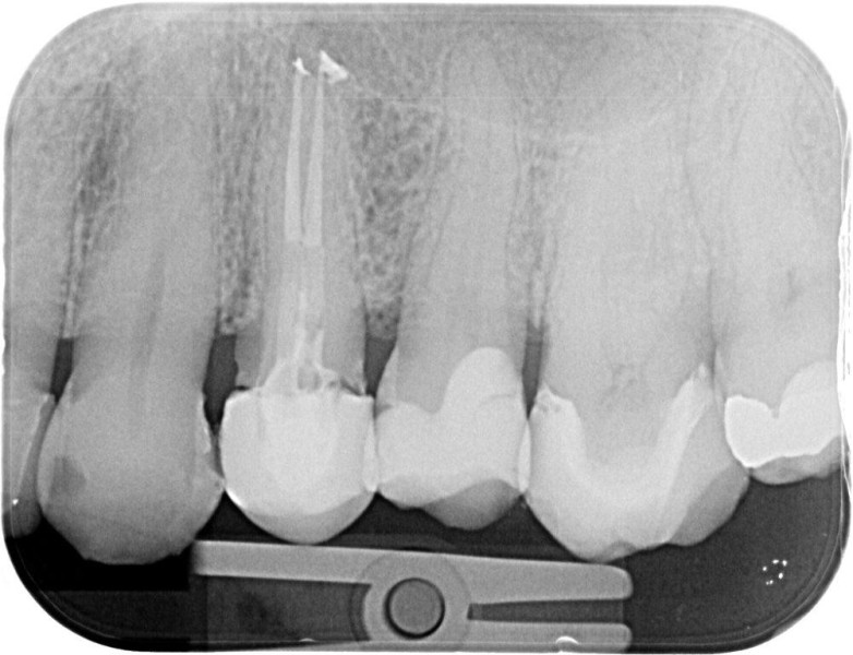
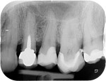
Post removal cases

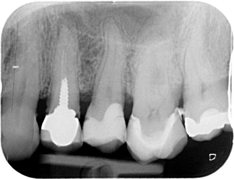
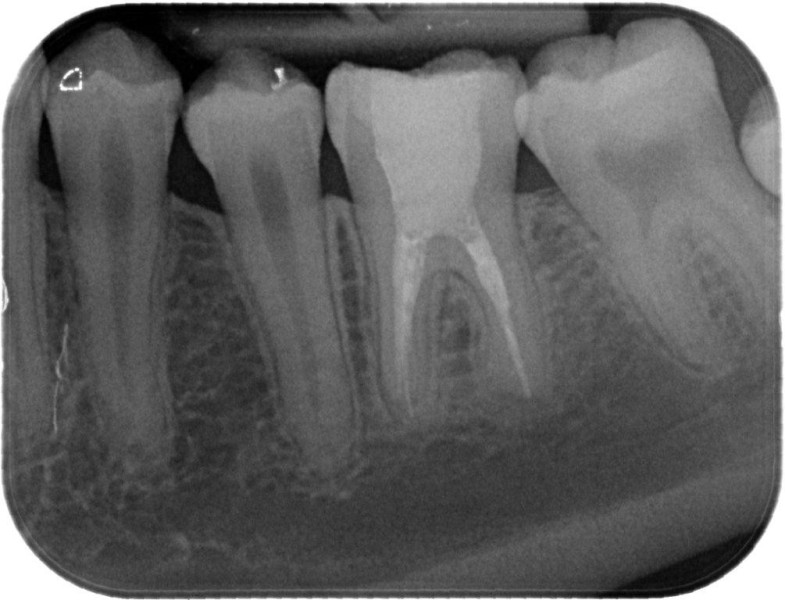
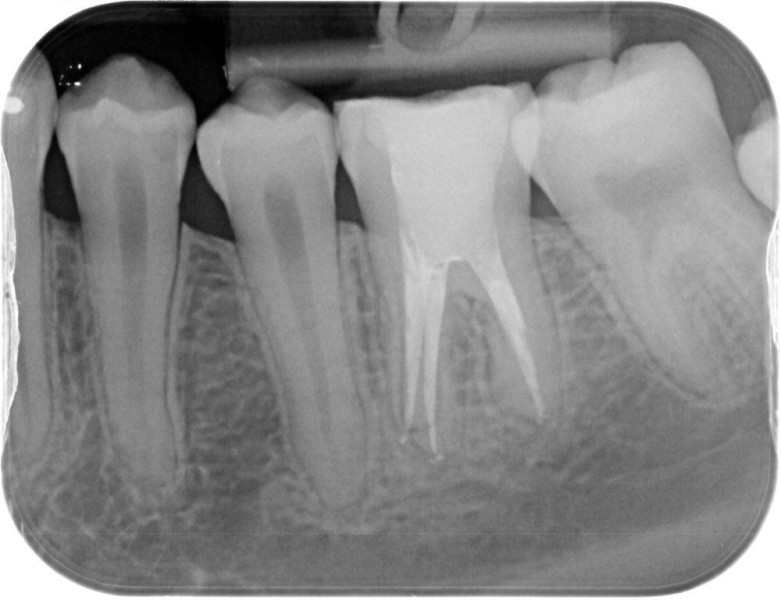
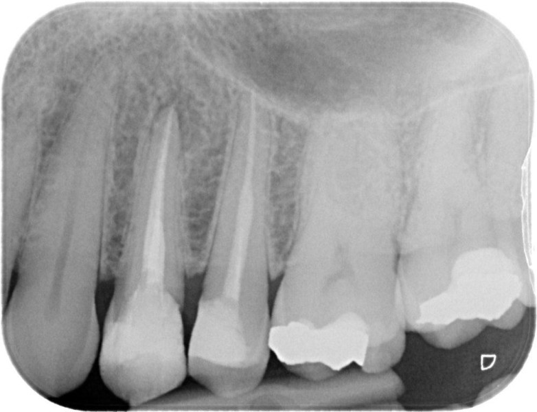
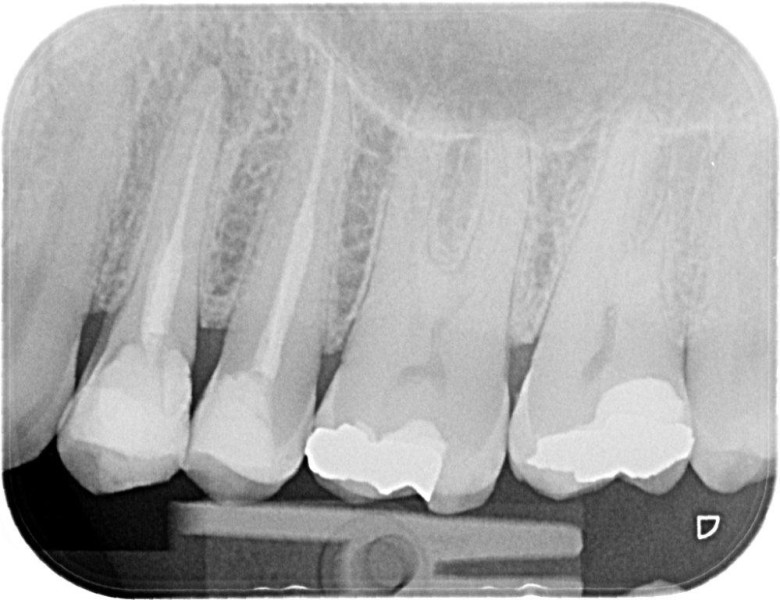
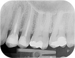
Premolar retreatment

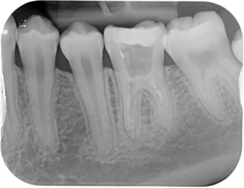
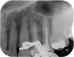
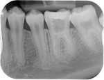
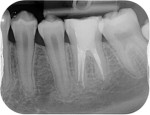
Molar retreatment

Print | Sitemap
© Bridge Street Dental Surgery

Last edited 24/11/2021