Periodontal treatment: maintaining the condition of your teeth

 

Healthy gums are very important for ensuring healthy teeth.

 

The gums have a special ligament, the "Periodontal ligament" that holds the teeth into the jaw bones.

 

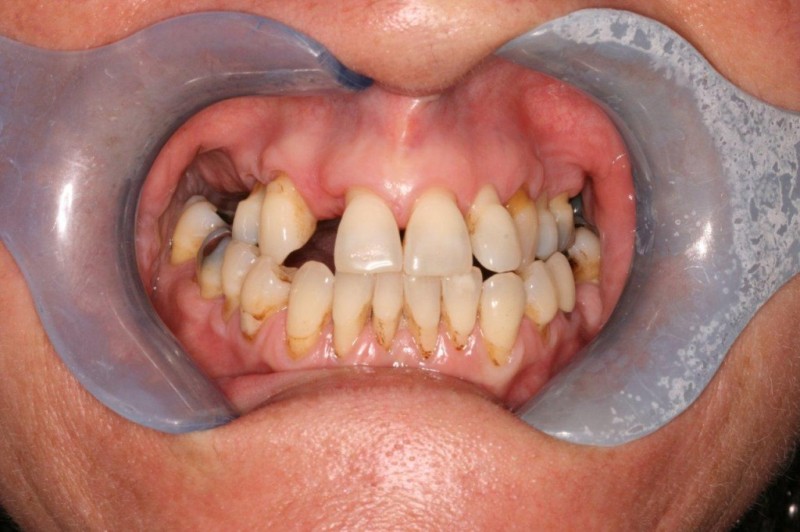
Inflammation of the gums is initially called gingivitis. People who are susceptible to gum disease may progress to get periodontal disease.

 

Over time, Periodontal disease can damage your ability to bite and lead to tooth loss.

 

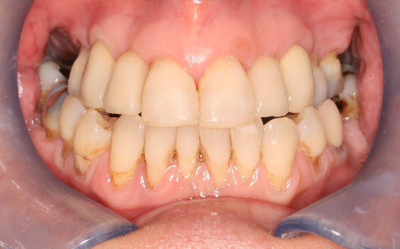
To make sure this doesn't happen, we start treatment promptly to stop the process and maintain your long-term dental health.

 

Our Periodontal treatments include:

  • Full mouth charting
  • Gum Grafting 
  • Bone Grafting
  • Ridge Preservation

 

Our Periodontal treatment is carried out by either Robert Eades's or Kelly Tachell our Hygienist and Therapist, this is to ensure that the foundations are maintained fully.

 

Robert or Kelly may refer you to secondary care for furthur care, this can be done either NHS or Private.

 

A six sextant gum health score will be accessed and recorded at all  examination appointments.

“Mr Robert Eades was very thorough and sensitive to my pathetic low threshold to pain which made it easier to have the work done. I am extremely happy with the outcome and have recovered my confidence with my new smile. My teeth do not look over white and false, just a good colour for a 50 year old women.” Miss Suzanne Sloan.

Print | Sitemap
© Bridge Street Dental Surgery

Last edited 24/11/2021