White restorations for long a lasting and aesthetic smile

 

White composite restorations can be placed as an alternative to amalgam metal fillings.

 

These look and feel great and are very affordable to replace.

 

White fillings can be placed on every surface of the tooth, this may be purely for cosmetic reasons i.e. closing a space, change a tooth shape or improving a colour of a discoloured tooth.

 

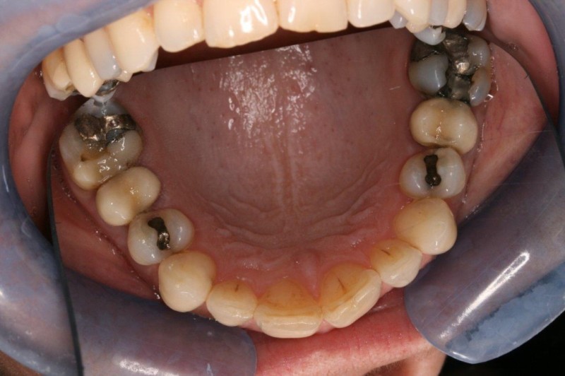
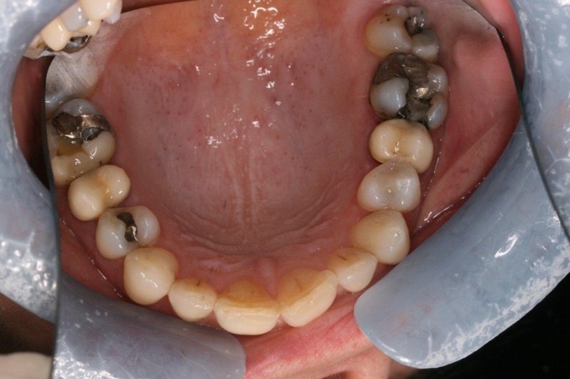
White fillings are also used replace old silver restorations either for cosmetic reasons, decay or a broken filling.

 

Technology for white fillings has progressed over the last 5 years and now is most patients preferred choice of fillings.

 

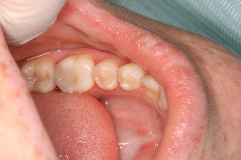
White fillings are often placing under a rubber sheet to ensure moisture control as composite needs to be placed as dry as possible to ensure a long term success. All white fillings in the practice are built up in layers and set in between with a

light to ensure each layer is fully set, this minimises contraction stresses which can lead to tooth sensitivity.

We also ensure that contact points between your teeth are easily maintained this is done by using a special matrix system on placing the filling.

 

We always check that you happy with the appearance and polishing is done before you leave.

 

White fillings may need maintaining so we find it important to polish them at your routine examination appointments.

 

Please phone Sue or Nicola on 01937 833416 or use our contact form for furthur details.

 

Our fees are very competitive and allow us to place multiple surface white fillings at a 20% discount.

Print | Sitemap
© Bridge Street Dental Surgery

Last edited 24/11/2021